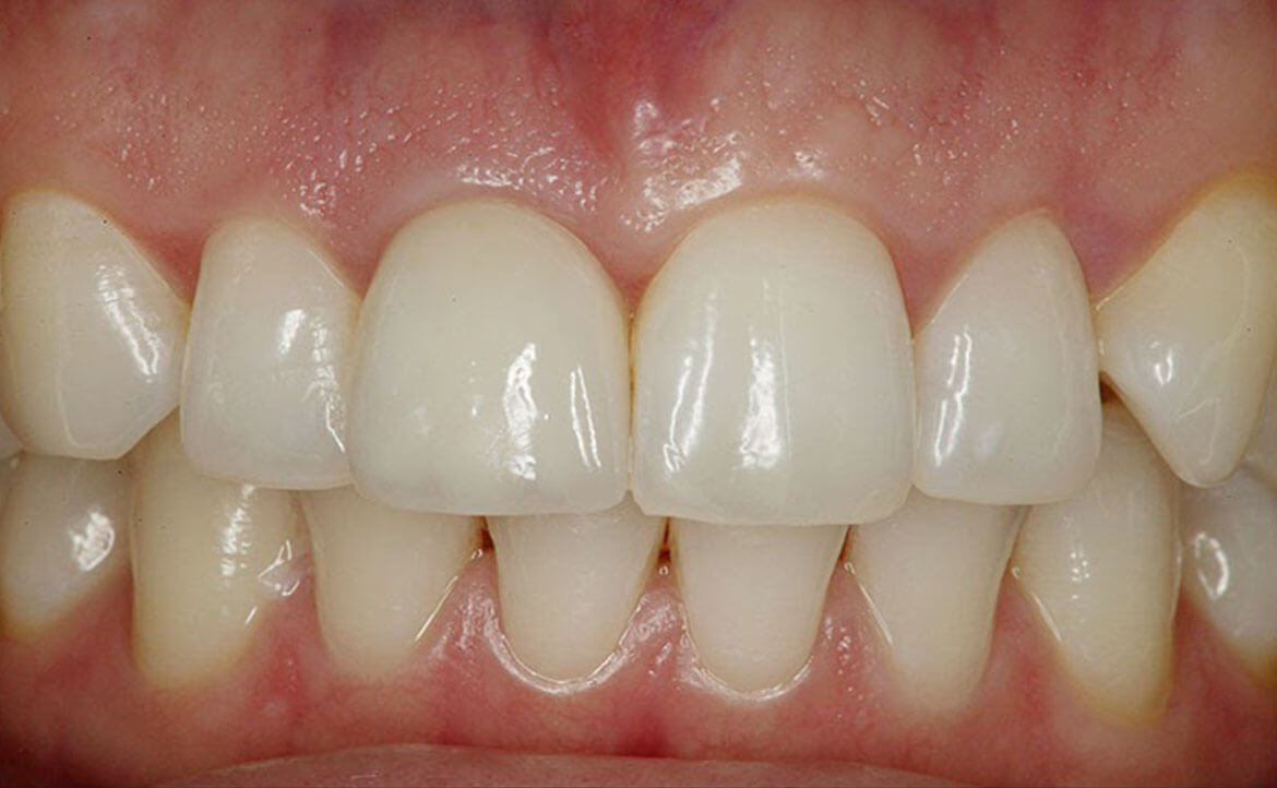
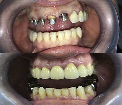
Un tale pezzo protesico ripristina l'integrità delle arcate dentarie. Una protesi mobile correttamente realizzata migliorerà esteticamente i lineamenti del viso del paziente, consentirà il ripristino della funzione masticatoria e migliorerà la fonazione.
Un tale pezzo protesico ripristina l'integrità delle arcate dentarie. Una protesi mobile correttamente realizzata migliorerà esteticamente i lineamenti del viso del paziente, consentirà il ripristino della funzione masticatoria e migliorerà la fonazione.
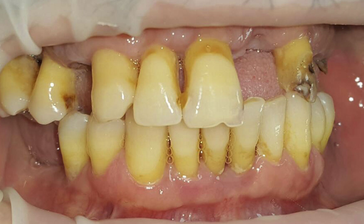
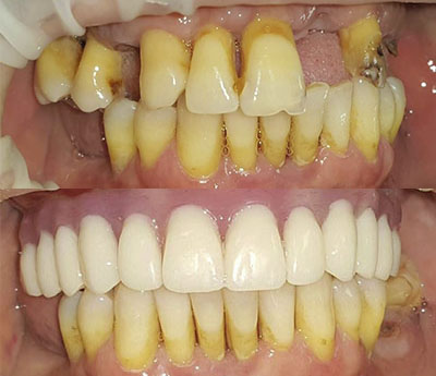
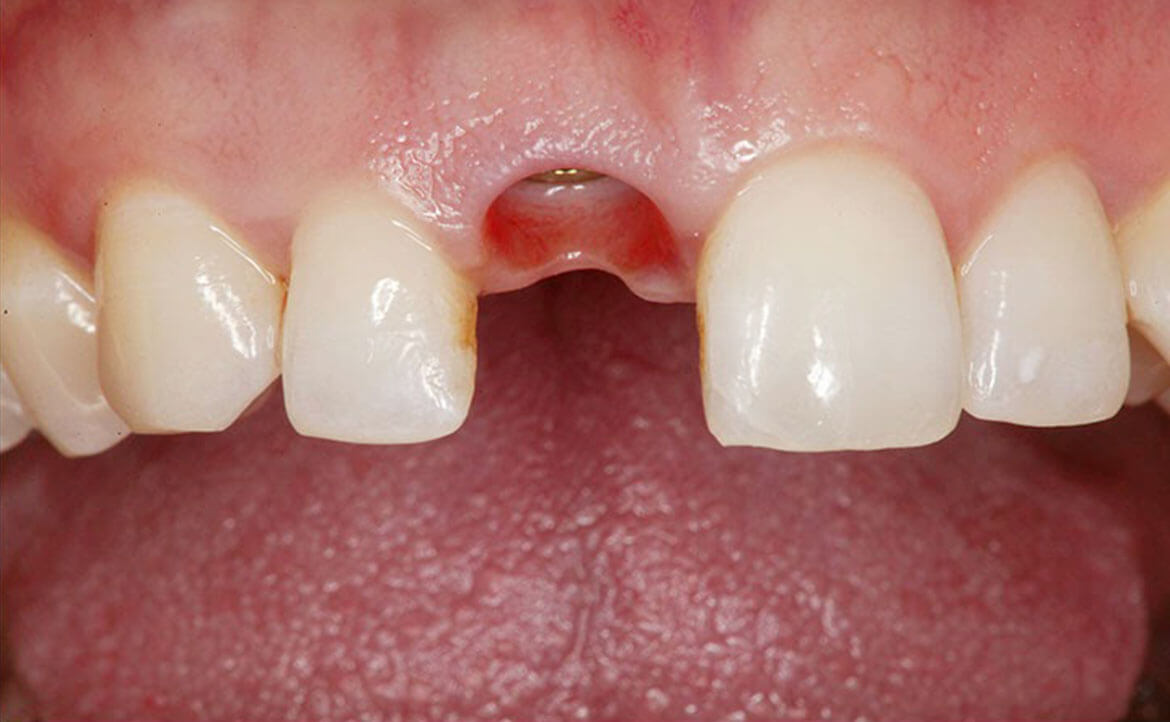
Oltre al ripristino estetico della dentatura, il ponte dentale previene le complicazioni che possono derivare dalla mancanza di un dente. Una volta applicato, completerà il normale processo di masticazione e migliorerà la funzione fonetica.
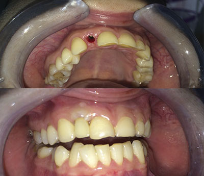
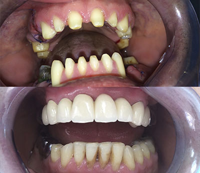
Il sistema Fast&Fixed è un'alternativa immediata. Questa procedura ti permetterà di ritrovare il tuo sorriso in un unico intervento. Il risultato è immediato e recupererai autostima e fiducia in te stesso.




Chisinau,
settore Botanica
Repubblica di Moldavia, Viale Dacia, 31
E-mail
dentistamoldavia@gmail.com
Dal lunedì al venerdì: 08:30 - 19:00
Sabato: dalle 09:00 alle 14:00
La domenica è un giorno libero